
By Melissa Schenkman
A widespread lack of pediatric dental care means untreated tooth decay for many kids in Chicago and throughout the U.S.
Less than half of school-aged children visited a dentist in 2009 and only 14 percent had a preventive treatment such as, fluoride or a sealant, according to the Centers for Disease Control and Prevention in a study recently published in the Morbidity and Mortality Weekly Report.

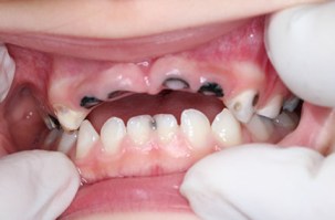
Chicago’s 2008-2009 Healthy Smiles, Healthy Growth Survey (HSHGS) of Chicago third graders, found untreated dental cavities in 35.6 percent of the children, at least one sealant present in 34.3 percent of children and 63.5 percent of children to have had dental cavities at some point prior to this assessment. But dental care is improving.
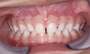
Children in Chicago Public Schools (CPS) have access to preventive dental care at Medicaid-funded mobile clinics at their schools annually. This includes exams, cleanings, fluoride treatments and sealants. All students are eligible for care regardless of insurance status.
The preliminary results of the 2013-2014 HSHGS show a downward trend in the percentage of third graders with untreated tooth decay and with experience in dental cavities, but an increase in the number of children having sealants, an indication of having received preventive dental care. The percentage of third graders having experienced a cavity in the past is now at 50.5 percent.
Third graders are assessed because they have both their primary and permanent teeth, making their mouths particularly good for measuring dental history.
The assessment is conducted by the Chicago Oral Health Forum in collaboration with the Illinois Department of Public Health as part of the National Oral Health Surveillance System.
“We’ve done a really good job of providing care, but we haven’t done a good job in terms of treating cavities,” said Anne Clancy, co-founder and director of the COHF. “You can’t counteract Mountain Dew.”
Application of fluoride gel to the teeth after development aids in remineralizing decalcified coating on the teeth, which leaves white spots; a result from lack of cleaning.
Also sealants can be applied to pits that have formed on the chewing surfaces of molars, in the back of the mouth that are unlikely to get properly cleaned. If left untreated uninvited bacteria can grow in these uncoated surface areas leading to tooth decay.
Dr. Cissy Furusho, a pediatric dentist at Dentistry for Kids, Ltd., in Chicago and a clinical instructor at the University of Illinois, said the reason that cavities in children are so widespread is because children do not get dental care early or often enough and parents lack knowledge on oral health regardless of their socioeconomic background.
“Cavities do not discriminate.” “All you need are teeth to get cavities and to have bacteria,” Furusho said.
She says there is a misconception that a child has to be a certain age to get a cavity, but that is not the case. In her practice, Furusho said she has seen children whose parents will have seen a cavity developing at 12 months of age, but think the child is too young to see a dentist. By the time Furusho sees the child at 3- or 4-years-old, the child requires a big filling instead of a small one.
“Education is key for the public, parents and pediatricians,” Furusho said.
The CPS school-affiliated clinics offer preventive care to students once a year, but the American Academy of Pediatric Dentistry recommends that children be seen “every 6 months or as indicated by individual patient’s risk status/susceptibility to disease.”
Clancy says, the school-affiliated clinics are not meant to be the permanent dental home for all CPS students, but one accessible way to get preventive care. Due to difficulty accessing dental care, sometimes this is exactly what these clinics become.
The American Academy of Pediatric Dentistry and the American Academy of Pediatrics are trying to push pediatricians to refer children to a dental home by age 1, Fursho said. A move she whole-heartedly agrees with.
Poor pediatric dental care leading to tooth decay can result in fever, infection, lower attendance at school, and parents missing time from work, Furusho said. “It’s a vicious cycle.”
To address the issue of comprehensive dental care of CPS students, the Chicago Oral Health Forum is in the midst of a one-year pilot program on case management. The program assigns a case manager to each school.
“Case managers will match kids with treatment needs with a provider in their area,” Clancy said.
The hope is that the program will be successful and implemented in across CPS, according to Clancy.
“Unless you have the funds to pay for private dental care it’s hard to get comprehensive pediatric dental care, “ Clancy said.
Published: October 2, 2014 on Medill Reports Chicago